Bạn được chẩn đoán gãy xương chày nhưng chưa biết bao lâu thì lành? Bạn đang tìm kiếm cách đẩy nhanh tốc độ bình phục chấn thương? Hãy để HelloBacsi giúp bạn qua bài viết sau.
Tìm hiểu chung
Gãy xương chày là gì?
Xương chày là một trong hai xương lớn ở cẳng chân, có thể nứt hoặc thậm chí gãy khi có một lực lớn trực tiếp tác động lên. Đây là một trong những đoạn xương thường bị gãy nhất trong cơ thể.
Loại chấn thương này sẽ ảnh hưởng đáng kể đến cuộc sống cũng như công việc hàng ngày của người bệnh nên gãy xương chày bao lâu thì lành và đi lại được là mối bận tâm của không ít người. Nhìn chung, thời gian phục hồi của một người có thể kéo dài từ 4 – 6 tháng hoặc hơn tùy vào mức độ nghiêm trọng của chấn thương.
Triệu chứng
Những dấu hiệu và triệu chứng gãy xương chày là gì?

Người bị gãy xương chày thường sẽ có những biểu hiện gồm:
- Đau dữ dội ở dưới cẳng chân
- Gặp khó khăn khi cử động chân, đặc biệt là lúc di chuyển
- Tê hoặc ngứa ran ở chân
- Không có khả năng chịu lực ở chân bị thương
- Biến dạng cẳng chân, đầu gối, ống chân hoặc vùng mắt cá chân
- Xương nhô ra khỏi chỗ rách da
- Hạn chế các vận động uốn cong và xung quanh đầu gối
- Sưng xung quanh vùng bị chấn thương
- Bầm tím và xanh tím ở chân bị thương
Khi xương chày bị gãy, xương mác (một đoạn xương khác ở cẳng chân) cũng thường bị ảnh hưởng.
Bạn có thể gặp các triệu chứng khác không được đề cập. Nếu bạn có bất kỳ thắc mắc nào về các dấu hiệu bệnh, hãy tham khảo ý kiến bác sĩ.
Khi nào bạn cần gặp bác sĩ?
Nếu bạn có bất kỳ dấu hiệu hoặc triệu chứng nêu trên hoặc có bất kỳ câu hỏi nào, xin vui lòng tham khảo ý kiến bác sĩ. Cơ địa mỗi người là khác nhau, vì vậy hãy hỏi ý kiến bác sĩ để lựa chọn được phương án thích hợp nhất.
Nguyên nhân
Nguyên nhân nào gây ra gãy xương chày?

Xương chày ở cẳng chân có thể bị gãy bởi nhiều nguyên nhân khác nhau, ví dụ như:
- Va chạm mạnh, thường liên quan đến tai nạn lao động hoặc xe cộ
- Té ngã ở người cao tuổi, khó giữ thăng bằng
- Chấn thương thể thao, đặc biệt là những môn có các động tác khó, xoay tròn như trượt băng, trượt tuyết và những môn mang tính đối kháng cao
- Một số tình trạng sức khỏe tiềm ẩn khiến xương dễ bị gãy, chẳng hạn như bệnh tiểu đường tuýp 2 và viêm xương khớp.
Chẩn đoán & điều trị
Những thông tin được cung cấp không thể thay thế cho lời khuyên của các chuyên viên y tế. Hãy luôn tham khảo ý kiến bác sĩ.
Những kỹ thuật y tế nào dùng để chẩn đoán gãy xương chày?
Gãy trục xương chày được chẩn đoán dựa trên bệnh án của bệnh nhân, trong đó bao gồm các loại chấn thương. Bác sĩ cũng sẽ hỏi về các tình trạng sức khỏe khác như bệnh tiểu đường và bất kỳ loại thuốc nào mà bệnh nhân đang sử dụng.
Kiểm tra sức khỏe trong đó bao gồm việc kiểm tra:
- Các dị dạng dễ nhận thấy
- Da bị rách
- Xương nhô ra ngoài da
- Sưng
- Bầm tím
- Bất ổn
- Các cảm giác
- Sức mạnh cơ bắp
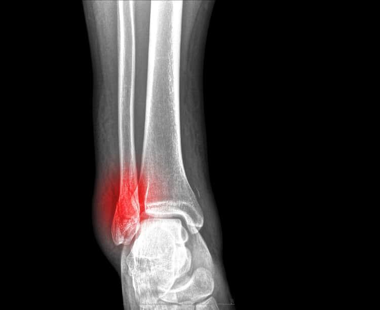
Xét nghiệm như X-quang và các chẩn đoán hình ảnh như chụp CT được khuyến khích. X-quang giúp xác nhận gãy xương và cũng tìm hiểu đầu gối hoặc khớp mắt cá chân có bị ảnh hưởng bởi gãy xương không.
Sau khi đọc hình chụp X-quang, nếu bác sĩ nghi ngờ đầu gối hoặc mắt cá chân bị ảnh hưởng, bạn sẽ cần chụp CT.
Những phương pháp nào dùng để điều trị gãy xương chày?
Bác sĩ sẽ xem xét một số yếu tố khi điều trị gãy xương chày, bao gồm:
- Mức độ chấn thương, cả mức độ tổn thương của các mô mềm
- Nguyên nhân chấn thương
- Sức khỏe tổng thể và bệnh sử y tế
- Mong muốn của bệnh nhân
- Bất kỳ tình trạng gãy xương khác kèm theo, như gãy xương mác
Điều trị nội khoa xương chày bị gãy bao gồm:

- Bó bột
- Hạn chế chức năng cơ chân nhưng vẫn cho phép một số cử động
- Các thuốc giảm đau như thuốc có tác dụng gây mê hoặc chống viêm
- Vật lý trị liệu
- Tập luyện tại nhà
- Dùng nạng
Trong một số trường hợp, bác sĩ có thể đề nghị phẫu thuật. Cách này thường được chỉ định với các trường hợp gãy xương hở, gãy vụn hoặc xương chân rất yếu. Phẫu thuật cũng có thể cần thiết nếu các phương pháp điều trị nội khoa cho gãy xương chày không có tác dụng. Các thủ thuật phẫu thuật sau đây thường được sử dụng để điều trị gãy xương chày:
- Cố định tại chỗ bao gồm sử dụng ốc vít, thanh, hay tấm thép để cố định xương chày với nhau
- Cố định bên ngoài, kết nối ốc vít hoặc các đinh chốt xương gãy với một thanh kim loại bên ngoài chân để giữ cố định
Thông thường, những phương pháp phẫu thuật này đều kèm theo vật lý trị liệu, các bài luyện tập tại nhà và thuốc giảm đau. Các phẫu thuật này thường liên quan đến một số nguy cơ không đáng kể. Hãy hỏi bác sĩ để thảo luận về những rủi ro này trước khi giải phẫu.
Chế độ sinh hoạt phù hợp
Những thói quen sinh hoạt nào giúp bạn quản lý gãy xương chày?
Lối sống và các biện pháp khắc phục tại nhà sau có thể giúp bạn đối phó với gãy xương chày:
- Cố gắng vận động đầu gối, mắt cá chân, bàn chân, ngón chân trong giai đoạn đầu của phục hồi để tránh cứng khớp.
- Vật lý trị liệu được thực hiện sau khi tháo bột hoặc nẹp, giúp khôi phục lại sức mạnh bình thường của cơ bắp và chuyển động linh hoạt của khớp.
- Đi bộ với sự hỗ trợ của dụng cụ hỗ trợ hoặc nạng ngay sau khi xương liền.
Nếu bạn có bất kỳ câu hỏi nào, hãy tham khảo ý kiến bác sĩ để được tư vấn phương pháp hỗ trợ điều trị tốt nhất.































