Tìm hiểu chung
Bệnh hở van ba lá là gì?
Bệnh hở van ba lá, hay còn gọi là hở van tim ba lá, là khi van giữa hai buồng tim phải (tâm thất phải và tâm nhĩ phải) không đóng lại đúng cách. Kết quả là máu bị rò rỉ ngược vào buồng trên bên phải (tâm nhĩ phải).
Van ba lá nằm giữa tâm nhĩ phải và tâm thất phải của tim. Van mở ra khi tâm nhĩ co lại để bơm máu vào tâm thất, đóng lại khi tâm thất co lại để ngăn máu chảy ngược về tâm nhĩ.
Trường hợp van ba lá bị hở, tức là van không đóng chặt lại được, làm cho máu chảy ngược về tâm nhĩ. Khi có một lượng máu chảy ngược trở lại, tâm nhĩ phải hoạt động nhiều hơn và trở nên to ra.

Triệu chứng
Những dấu hiệu và triệu chứng hở van ba lá là gì?
Nếu bạn bị hở van ba lá nhẹ, bạn có thể không biểu hiện triệu chứng cho đến khi tình trạng trở nên nghiêm trọng sau vài năm.
Các dấu hiệu và triệu chứng của hở van ba lá có thể bao gồm:
- Mệt mỏi
- Nhịp tim không đều (loạn nhịp tim)
- Xung huyết ở cổ
- Khó thở khi hoạt động
- Sưng ở vùng bụng, sưng chân hoặc tĩnh mạch cổ
- Đau ngực.
Các triệu chứng như yếu ớt, mệt mỏi và lượng nước tiểu ít có thể xảy ra. Bệnh nhân có thể bị rối loạn nhịp tim do tâm nhĩ không co bóp như bình thường, máu dồn lại ở tâm nhĩ và có thể hình thành huyết khối. Những cục máu này có thể di chuyển đến não và gây đột quỵ.
Khi nào bạn cần gặp bác sĩ?
Hở van tim ba lá nghiêm trọng có thể dẫn đến suy tim. Nếu bạn có bất kì dấu hiệu hoặc triệu chứng của suy tim – như cảm giác mệt mỏi, khó thở đối với các hoạt động bình thường, hãy đến gặp bác sĩ. Bác sĩ có thể giới thiệu cho bạn một bác sĩ chuyên về tim mạch.
Nguyên nhân
Nguyên nhân gây ra hở van ba lá là gì?
Van ba lá nằm giữa hai ngăn bên phải của tim. Van ba lá bao gồm ba mảnh mô mỏng (được gọi là đỉnh, hoặc lá chét). Các nắp van này mở ra để máu chảy từ buồng trên bên phải (tâm nhĩ phải) xuống buồng dưới bên phải (tâm thất phải). Sau đó, các nắp van sẽ đóng chặt lại để ngăn máu di chuyển ngược lại.
Trong hở van ba lá, van ba lá không đóng chặt. Kết quả là máu bị rò rỉ ngược vào tâm nhĩ phải.
Hở van ba lá có thể do:
- Dị tật tim ngay từ khi sinh ra (bệnh tim bẩm sinh). Một số dị tật tim bẩm sinh có thể ảnh hưởng đến hình dạng và chức năng của van ba lá. Hở van ba lá ở trẻ em thường do dị tật tim bẩm sinh hiếm gặp gọi là dị tật Ebstein. Trong tình trạng này, van ba lá bị dị dạng và nằm thấp hơn bình thường trong tâm thất phải.
- Rối loạn di truyền. Hội chứng Marfan là một rối loạn mô liên kết đôi khi kết hợp với hở van ba lá.
- Thấp khớp. Biến chứng này của viêm họng hạt không được điều trị kịp thời có thể làm hỏng van ba lá và các van tim khác, gây hở van sau này cho trẻ.
- Nhiễm trùng màng trong tim (viêm nội tâm mạc nhiễm trùng). Nhiễm trùng màng trong tim có thể làm hỏng van ba lá.
- Hội chứng carcinoid. Trong tình trạng hiếm gặp này, các khối u phát triển trong hệ tiêu hóa và di căn đến gan hoặc các hạch bạch huyết tạo ra một chất tương tự như hormone có thể làm hỏng van tim, phổ biến nhất là van ba lá và van động mạch phổi.
- Chấn thương ngực. Trải qua chấn thương ở ngực, chẳng hạn như trong một tai nạn xe hơi, có thể gây ra tổn thương dẫn đến hở van ba lá.
- Máy tạo nhịp tim hoặc dây thiết bị trợ tim. Hở van ba lá đôi khi xảy ra khi đặt hoặc tháo dây máy tạo nhịp tim và máy khử rung tim đi qua van ba lá.
- Sinh thiết cơ tim (nội tâm mạc). Trong quy trình này, một lượng nhỏ mô cơ tim được lấy ra và kiểm tra các dấu hiệu viêm hoặc nhiễm trùng. Tổn thương van đôi khi có thể xảy ra trong quá trình sinh thiết này.
- Xạ trị. Tiếp nhận bức xạ vào ngực, ví dụ như trong quá trình điều trị ung thư, có thể làm hỏng van ba lá và gây ra hiện tượng trào ngược van ba lá.
Những yếu tố nào làm tăng nguy cơ mắc bệnh hở van ba lá?

Những yếu tố có thể khiến bạn tăng nguy cơ mắc bệnh hở van tim ba lá bao gồm:
- Dị tật tim bẩm sinh, chẳng hạn như dị tật Ebstein
- Một cơn đau tim
- Suy tim
- Cao huyết áp
- Tăng áp động mạch phổi
- Nhiễm trùng ảnh hưởng đến tim, chẳng hạn như sốt thấp khớp và viêm nội tâm mạc nhiễm trùng
- Bức xạ vùng ngực
- Sử dụng một số chất kích thích và thuốc dùng để điều trị bệnh Parkinson và chứng đau nửa đầu
- Cơ tim suy yếu (bệnh cơ tim).
Biến chứng
Hở van ba lá có nguy hiểm không?
Các biến chứng tiềm ẩn của hở van ba lá có thể bao gồm:
- Rung nhĩ. Một số người bị hở van ba lá nặng cũng có thể bị rung nhĩ, một chứng rối loạn nhịp tim phổ biến.
- Suy tim. Hở van ba lá nặng có thể làm tăng áp lực trong buồng dưới bên phải (tâm thất). Tâm thất phải có thể mở rộng và suy yếu theo thời gian, dẫn đến suy tim.
Chẩn đoán và điều trị
Những thông tin được cung cấp không thể thay thế cho lời khuyên của các chuyên viên y tế. Hãy luôn tham khảo ý kiến bác sĩ.
Những kỹ thuật y tế dùng để chẩn đoán hở van ba lá?
Hở van ba lá có thể diễn ra âm thầm. Ở trẻ em, tình trạng bệnh có thể không được chẩn đoán cho đến khi trưởng thành. Hở van ba lá có thể được phát hiện khi các xét nghiệm hình ảnh của tim được thực hiện vì những lý do khác.
Một số xét nghiệm sau đây có thể được thực hiện để xác định chẩn đoán và xác định nguyên nhân cũng như mức độ nghiêm trọng:
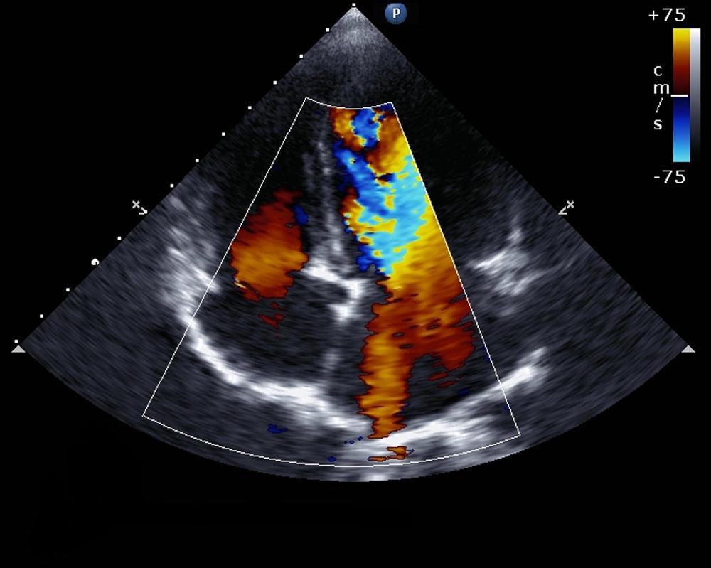
- Siêu âm tim. Đây là xét nghiệm chính được sử dụng để chẩn đoán hở van ba lá. Siêu âm tim sử dụng sóng âm thanh để tạo ra hình ảnh chi tiết của trái tim đang đập. Xét nghiệm có thể cho biết cấu trúc của tim và van tim, bao gồm van ba lá, và dòng chảy của máu qua các vùng tim.
- MRI tim. Từ trường và sóng vô tuyến được sử dụng để tạo ra hình ảnh chi tiết về trái tim. MRI tim có thể được sử dụng để xác định mức độ nghiêm trọng của hở van ba lá và đánh giá kích thước và chức năng của buồng tim dưới bên phải (tâm thất phải).
- Điện tâm đồ (ECG hoặc EKG). Thử nghiệm nhanh chóng và không đau này đo hoạt động điện của tim. Các miếng dán (điện cực) dính được đặt trên ngực và đôi khi ở cánh tay và chân. Dây điện kết nối các điện cực với máy tính, nơi hiển thị kết quả xét nghiệm.
- Chụp X-quang phổi. Chụp X-quang phổi cho biết tình trạng của tim và phổi.
- Bài tập kiểm tra căng thẳng. Loại xét nghiệm này được thực hiện để cho biết tim hoạt động như thế nào trong quá trình hoạt động thể chất. Nó thường bao gồm đi bộ trên máy chạy bộ hoặc đạp một chiếc xe đạp tĩnh trong khi nhịp tim, huyết áp và nhịp thở được theo dõi. Nếu bạn không thể tập thể dục, có thể sử dụng các loại thuốc để bắt chước tác động của việc tập thể dục lên tim của bạn.
- Thông tim. Hiếm khi, thông tim có thể được thực hiện để xác định một số nguyên nhân gây hở van ba lá và giúp quyết định điều trị.
Những phương pháp nào dùng để điều trị hở van ba lá?
Nếu bạn bị hở van ba lá nhẹ, bạn có thể không cần tái khám thường xuyên. Đối với tình trạng nghiêm trọng hơn, bạn có thể cần đến tái khám thường xuyên để được theo dõi.
Nếu bệnh hở van ba lá do bệnh lý có từ trước hoặc dị tật tim bẩm sinh, bạn có thể cần dùng thuốc, thủ thuật đặt ống thông hoặc phẫu thuật để sửa chữa hoặc thay thế van.
Thuốc men
Bác sĩ có thể kê đơn thuốc để kiểm soát các triệu chứng hoặc để điều trị một tình trạng tiềm ẩn gây ra hở van ba lá. Thuốc có thể bao gồm:
- Thuốc để loại bỏ chất lỏng thừa ra khỏi cơ thể (thuốc lợi tiểu)
- Thuốc để kiểm soát nhịp tim không đều (chống loạn nhịp tim)
- Các loại thuốc khác để điều trị hoặc kiểm soát suy tim
Phẫu thuật hoặc các thủ tục khác
Một số người bị hở van ba lá có thể cần phẫu thuật để sửa hoặc thay van tim. Việc sửa chữa hoặc thay thế van có thể được thực hiện như phẫu thuật tim hở hoặc phẫu thuật tim xâm lấn tối thiểu. Đôi khi vấn đề về van ba lá có thể được điều trị bằng thủ thuật đặt ống thông.
Bác sĩ có thể đề nghị phẫu thuật sửa hoặc thay van ba lá nếu:
- Bạn bị hở van ba lá với các dấu hiệu hoặc triệu chứng nghiêm trọng
- Bạn bị sưng (to) tim
- Bạn bị hở van ba lá và cần phẫu thuật tim cho một tình trạng khác, chẳng hạn như bệnh van hai lá
Phẫu thuật hoặc các thủ thuật khác để điều trị hở van ba lá bao gồm:
- Sửa van ba lá. Sửa van ba lá thường được thực hiện với phẫu thuật tim hở để bảo tồn chức năng tim. Việc sửa chữa có thể bao gồm vá các lỗ hoặc vết rách trên van, định hình lại hoặc loại bỏ mô để giúp van đóng chặt hơn, tách các cánh van (lá van) hoặc thêm giá đỡ cho đế van hoặc rễ van.
- Thay van ba lá. Nếu van ba lá không thể sửa chữa được, bác sĩ phẫu thuật có thể loại bỏ van bị hỏng và thay thế bằng van cơ học hoặc van làm từ mô tim của bò, lợn hoặc người (van mô sinh học).
- Đặt ống thông. Nếu bạn có van ba lá mô sinh học không còn hoạt động, thủ thuật đặt ống thông có thể được thực hiện thay vì phẫu thuật tim hở để thay van. Bác sĩ chèn một ống rỗng, mỏng (ống thông) vào tĩnh mạch và dẫn nó đến van ba lá bằng cách sử dụng tia X làm hướng dẫn. Van thay thế được đưa qua ống thông vào van sinh học hiện có.
- Các thủ tục khác. Nếu hở van ba lá gây ra các vấn đề về nhịp tim (loạn nhịp tim), cắt bỏ qua ống thông hoặc một loại phẫu thuật tim hở được gọi là thủ thuật mê cung có thể được thực hiện để chặn các tín hiệu tim bị lỗi gây ra nhịp tim không đều.

Phòng ngừa
Những biện pháp nào giúp bạn phòng ngừa bệnh hở van ba lá?
Thực hiện một số thay đổi lối sống để kiểm soát tình trạng hở van ba lá và cải thiện sức khỏe tim mạch của bạn, bao gồm:
- Thực hiện một chế độ ăn uống lành mạnh cho tim mạch. Ăn nhiều loại trái cây và rau quả, ngũ cốc nguyên hạt và protein nạc. Tránh chất béo bão hòa và chất béo chuyển hóa, đường, muối và ngũ cốc tinh chế.
- Tập thể dục. Tập thể dục có thể giúp cải thiện sức khỏe tim mạch. Tuy nhiên, hãy tham khảo ý kiến bác sĩ để lựa chọn loại bài tập phụ hợp với tình trạng sức khỏe của bạn, nếu bạn mắc các bệnh van tim khác và nếu tình trạng của bạn là do các bệnh lý khác gây ra.
- Ngăn ngừa nhiễm trùng tim. Nếu bạn đã thay van tim, bác sĩ có thể khuyên bạn nên dùng thuốc kháng sinh trước khi làm thủ thuật nha khoa để ngăn ngừa nhiễm trùng niêm mạc bên trong tim (viêm nội tâm mạc nhiễm trùng).
- Tái khám thường xuyên. Dùng thuốc theo đúng chỉ định và tái khám thường xuyên với bác sĩ để được theo dõi tình trạng bệnh.
- Cẩn thận khi mang thai. Nếu bạn bị hở van ba lá bẩm sinh và có dự định mang thai, hãy tham gia tư vấn di truyền để phòng ngừa bệnh di truyền cho con cái.
Nếu bạn có bất kỳ câu hỏi nào, hãy tham khảo ý kiến bác sĩ để được tư vấn phương pháp hỗ trợ điều trị tốt nhất.































