Tụ máu dưới màng cứng là tình trạng nguy hiểm cần được cấp cứu ngay. Tuy nhiên, đây là bệnh gì, triệu chứng nhận biết ra sao, thường xảy ra sau tình huống nào và cách xử trí thì không phải ai cùng biết.
Mời bạn cùng Hello Bacsi tìm hiểu cụ thể hơn về căn bệnh này nhé!
Tìm hiểu chung
Tụ máu dưới màng cứng là gì?
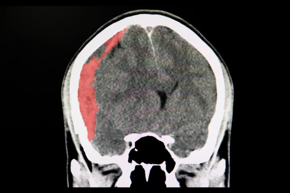
Não của con người được bao bọc bởi các lớp màng não, bao gồm màng cứng, màng nhện và màng mềm, sau đó mới tới xương sọ và da đầu. Khi mắc bệnh tụ máu dưới màng cứng (hay còn gọi là xuất huyết dưới màng cứng), máu sẽ bị tích tụ ở khoảng trống ở giữa màng cứng và màng nhện.
Bệnh có thể cấp tính (khởi phát nhanh) hoặc mạn tính (tiến triển từ từ). Tụ máu cấp tính hoặc quá lớn có thể gây tăng áp lực nội sọ, dẫn đến chèn ép và tổn thương mô não. Tình trạng này có thể đe dọa tính mạng người bệnh.

Triệu chứng
Những dấu hiệu và triệu chứng tụ máu dưới màng cứng là gì?
Triệu chứng của bệnh máu tụ dưới màng cứng phụ thuộc vào mức độ của chấn thương và kích thước, cũng như vị trí của khối máu tụ. Các triệu chứng có thể bắt đầu ngay lập tức hoặc sau một vài tuần sau chấn thương. Một vài người có vẻ ổn lúc đầu (vẫn tỉnh táo) sau chấn thương. Tuy nhiên, sau đó khối tụ máu xuất hiện, kích thước lớn lên, có thể bắt đầu gây ra các triệu chứng như:
- Mất ý thức, hôn mê hoặc giảm mức độ tỉnh táo, lú lẫn
- Nôn, buồn nôn
- Đau đầu
- Chóng mặt
- Rối loạn định hướng
- Nói ngọng, nói lắp
- Mất trí nhớ
- Co giật
- Thay đổi tính cách, hành vi
- Rối loạn nhịp thở
- Gặp vấn đề khi đi lại hoặc giữ thăng bằng
- Yếu hoặc tê bì nửa người
- Gặp vấn đề về thị lực
- Thiếu năng lượng.
Tụ máu mạn tính và bán cấp thường gây đau đầu, yếu nhẹ nửa người hoặc tứ chi, suy nghĩ chậm, nói khó, gặp vấn đề khi di chuyển và bị lú lẫn.
Nếu bệnh xảy ra ở trẻ sơ sinh, các triệu chứng có thể bao gồm:
- Thóp phồng
- Ăn uống kém
- Co giật
- Tăng chu vi vòng đầu
- Ngủ nhiều hoặc hôn mê
- Khó chịu, cáu gắt
- Khóc thé lên
- Nôn mửa kéo dài
Một số các triệu chứng khác có thể chưa được đề cập. Nếu bạn có bất kỳ thắc mắc nào về các dấu hiệu bệnh, hãy tham khảo ý kiến bác sĩ.
Khi nào bạn cần gặp bác sĩ?

Tụ máu dưới màng cứng là một tình trạng nguy hiểm tính mạng cần được cấp cứu kịp thời. Bệnh nhân cần được hỗ trợ y tế ngay nếu vừa bị chấn thương đầu và có bất cứ triệu chứng nào cho thấy bạn đang bị tụ máu dưới màng cứng
Một số dấu hiệu và triệu chứng của tụ máu dưới màng cứng có thể không xuất hiện ngay sau chấn thương, do đó người bệnh cần được theo dõi kỹ.
Nguyên nhân
Nguyên nhân gây ra tụ máu dưới màng cứng là gì?
Nguyên nhân thường gặp của máu tụ dưới màng cứng là do chấn thương đầu nghiêm trọng làm rách tĩnh mạch ở khoang dưới màng cứng. Vết rách làm cho máu chảy vào khoang này rất nhanh, tạo thành khối tụ máu chèn ép nhu mô não. Tình trạng này thường gọi là tụ máu dưới màng cứng cấp tính, thường do chấn thương sọ não và có thể gây tử vong rất nhanh.
Tụ máu dưới màng cứng cũng có thể xảy ra sau một chấn thương đầu rất nhỏ, đặc biệt là ở người cao tuổi. Bởi vì lão hóa khiến não teo đi, các tĩnh mạch căng ra và dễ bị tổn thương hơn. Tình trạng này có thể không được chú ý trong nhiều ngày đến vài tuần và được gọi là tụ máu dưới màng cứng mạn tính.
Nguy cơ mắc phải
Những ai thường mắc tụ máu dưới màng cứng?
Bất cứ ai bị chấn thương đầu đều có thể mắc tụ máu dưới màng cứng, đặc biệt là ở trẻ nhỏ và người cao tuổi. Những người dùng nhiều rượu bia cũng dễ bị tụ máu dưới màng cứng hơn do dễ bị tai nạn và té ngã hơn.
Những yếu tố nào làm tăng nguy cơ mắc tụ máu dưới màng cứng?
Có rất nhiều yếu tố có thể làm tăng nguy cơ tụ máu dưới màng cứng, bao gồm:
- Dùng thuốc chống đông máu (chất làm giảm khả năng đông cầm máu, bao gồm aspirin)
- Nghiện rượu lâu ngày
- Mắc các bệnh lý làm khó đông máu
- Bị chấn thương đầu lặp đi lặp lại
- Trẻ nhỏ và người già
Bạn cũng có thể mắc bệnh nếu không có các yếu tố nguy cơ vì tụ máu có thể xảy ra do bất kỳ tai nạn ở đầu nào.
Chẩn đoán và điều trị
Những thông tin được cung cấp không thể thay thế cho lời khuyên của các chuyên viên y tế. Hãy luôn tham khảo ý kiến bác sĩ.
Những kỹ thuật y tế nào dùng để chẩn đoán tụ máu dưới màng cứng?
Người bệnh nhập viện sau khi bị chấn thương đầu thường được làm chẩn đoán hình ảnh đầu như chụp cắt lớp vi tính (CT) hoặc chụp cộng hưởng từ (MRI). Những kiểm tra hình ảnh này có thể giúp bác sĩ phát hiện sự tồn tại của tụ máu dưới màng cứng. Chụp MRI ưu thế hơn một chút so với chụp CT trong khả năng phát hiện tụ máu dưới màng cứng nhưng chụp CT lại nhanh và thường sẵn có hơn.
Một số trường hợp hiếm có thể dùng chụp mạch số hoá để chẩn đoán và điều trị tụ máu dưới màng cứng. Trong kỹ thuật này, một ống thông được đưa vào động mạch ở bẹn và luồn lên động mạch chủ, các động mạch cảnh tới não. Sau đó chất cản quang đặc biệt được tiêm vào để chụp lại được hình ảnh dòng máu chảy qua các động tĩnh mạch trên phim X-quang.

Những phương pháp nào dùng để điều trị tụ máu dưới màng cứng?
Việc điều trị phụ thuộc vào kết quả khám lâm sàng, triệu chứng, kích thước, vị trí khối máu tụ và khối máu tụ là cấp tính hay mạn tính.
Nếu máu tụ cấp tính, bệnh nhân có thể phải phẫu thuật ngay lập tức để làm giảm bớt áp lực lên não. Bác sĩ có thể khoan một lỗ ở sọ để giúp máu chảy ra và giảm bớt áp lực. Khối tụ máu quá lớn hoặc đã đông cứng lại có thể có thể cần được loại bỏ qua phẫu thuật mở hộp sọ.
Sau khi phẫu thuật, bạn cần dùng thuốc để kiểm soát các triệu chứng. Thuốc dùng để điều trị bệnh này phụ thuộc vào loại máu tụ dưới màng cứng, mức độ nghiêm trọng của các triệu chứng và mức độ từng tổn thương não. Bác sĩ có thể cho bệnh nhân sử dụng thuốc lợi tiểu và corticoid để làm giảm phù não. Thuốc chống động kinh như phenytoin, cũng có thể được sử dụng để kiểm soát cơn co giật.
Những người bị tụ máu dưới màng cứng mạn tính và ở trong tình trạng ổn định có thể chỉ cần theo dõi cho đến khi thực sự cần điều trị.
Đa số người lớn sẽ phục hồi trong 6 tháng đầu tiên, nhưng có thể vẫn còn các triệu chứng như động kinh hay choáng và sẽ giảm dần trong khoảng 2 năm. Trẻ em nhìn chung phục hồi nhanh hơn người lớn.
Những lời khuyên sau đây có thể giúp bạn phục hồi nhanh hơn:
- Ngủ đủ giấc vào ban đêm hay vào ban ngày, bất cứ khi nào cảm thấy mệt mỏi;
- Đừng cố gắng làm mọi thứ cùng một lúc sau khi quay trở lại hoạt động bình thường;
- Không nên hoạt động thể thao để tránh chấn thương tái phát cho đến khi bác sĩ cho phép.
Sau một chấn thương não, bạn có thể phản ứng chậm. Vì vậy, bạn nên tham khảo với bác sĩ trước khi bắt đầu lái xe, chơi thể thao, đi xe đạp hay vận hành máy móc nặng.
Nếu uống các thuốc khác, bạn cần hỏi ý kiến bác sĩ để tránh tác dụng phụ hay các tương tác thuốc có thể làm tái phát xuất huyết nội sọ.
Bạn không được phép uống rượu cho đến khi đã hồi phục hoàn toàn. Rượu có thể gây cản trở quá trình phục hồi và làm tăng nguy cơ tái chấn thương.
Phòng ngừa
Những thói quen sinh hoạt nào giúp ngăn ngừa tụ máu dưới màng cứng?
Tụ máu dưới màng cứng có thể được hạn chế nếu bạn:
- Đội mũ bảo hiểm: Đội mũ bảo hiểm phù hợp và vừa vặn khi chơi các môn thể thao tiếp xúc, đạp xe đạp, lái xe mô tô, trượt tuyết, cưỡi ngựa, trượt ván, trượt patin, trượt ván tuyết hoặc thực hiện các hoạt động có khả năng gây chấn thương đầu sẽ giúp ngăn ngừa chấn thương.
- Thắt dây an toàn: Thắt dây an toàn mỗi khi bạn lái xe ô tô hoặc mô tô có thể ngăn ngừa hoặc giảm thiểu tổn thương đầu khi gặp tai nạn.
- Bảo vệ trẻ nhỏ: Luôn dùng dây an toàn vừa vặn, bọc cạnh bàn lại, chặn đường lên cầu thang, buộc đồ nội thất hoặc các trang thiết bị nặng vào tường để tránh chúng bị lật và ngăn trẻ leo lên những đồ vật không an toàn hoặc không vững.
Nếu bạn có bất kỳ câu hỏi nào, hãy tham khảo ý kiến bác sĩ để được tư vấn phương pháp hỗ trợ điều trị tốt nhất.
































