Vôi hóa sụn khớp là tình trạng lắng đọng canxi trong sụn mô. Việc hiểu rõ về quá trình lắng đọng canxi, sẽ giúp bạn điều trị bệnh hiệu quả hơn.
Canxi có trong dịch khớp. Dịch khớp có vai trò quan trọng giúp giảm ma sát giữa sụn khớp của khớp hoạt dịch khi chúng vận động.
Canxi trong dịch khớp có thể kết tinh và khi điều này xảy ra thì các tinh thể sẽ gây tổn thương bề mặt khớp. Khi khớp bị tổn thương, nó sẽ giải phóng các enzyme trong quá trình tổn thương, làm phân hủy sụn. Điều này sẽ khiến bạn bị sưng, đau, cứng khớp và viêm da trên khớp. Theo một nghiên cứu, khoảng 60% các ca phẫu thuật thay khớp do thoái hoá khớp đều có các tinh thể canxi trong khớp.
Các loại tinh thể canxi
Có hai dạng tinh thể canxi chính có thể gây viêm và đau khớp, gồm tinh thể pyrophosphate canxi và tinh thể canxi apatite. Tinh thể pyrophosphate canxi thường tích tụ trong sụn khớp và là nguyên nhân gây vôi hóa sụn khớp. Bệnh thường ảnh hưởng ở người từ trung niên trở lên.
Ngược lại, các tinh thể canxi apatite thỉnh thoảng xuất hiện trong sụn, nhưng thường lắng đọng ở gân cơ, gây ra viêm gân vôi hóa. Bệnh thường xảy ra ở người trẻ và trung niên. Đôi khi, vôi hóa sụn khớp có thể do cả hai tinh thể gây ra.
[embed-health-tool-bmi]
Sinh bệnh học
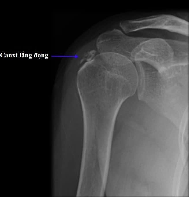
Tình trạng tích tụ canxi trong gân cơ thường xuất hiện ở các gân cơ chóp xoay ở vai. Bạn có thể bị tình trạng này mà không cần một chấn thương hay hoạt động quá mức gây ra. Những yếu tố quan trọng giúp xác định mức độ nghiêm trọng của viêm gân gồm kích thước, vị trí và số lượng vôi hóa.
Đôi khi, tình trạng lắng đọng canxi không gây ra bất kỳ triệu chứng nào, nhưng cũng có thể gây viêm và đau làm bạn hạn chế vận động.
Nếu các tinh thể ở sâu trong mô và không có tương tác với các tế bào và protein trong hệ miễn dịch cơ thể, bạn sẽ không bị tình trạng viêm nhiễm. Trường hợp này thường xuất hiện ở những người có tinh thể canxi trong nhiều năm nhưng không gây ra biến chứng. Tuy nhiên, nếu các tinh thể phóng thích từ sụn vào khoang khớp hoặc từ gân cơ vào các mô xung quanh sẽ gây ra phản ứng viêm.
Việc phóng thích các tinh thể pyrophosphate canxi vào khoang khớp sẽ gây sưng và đau khớp do phản ứng viêm xảy ra. Tình trạng này còn được gọi là gout giả, vì phản ứng viêm tương tự như bệnh gout.
Các tinh thể apatit canxi phóng thích gây viêm gân vôi hóa cấp tính trong gân cơ trên vai hoặc bất cứ gân cơ chóp xoay hoặc gân cơ nào trong cơ thể.
Chẩn đoán và điều trị
Trong chẩn đoán bệnh lý tinh thể canxi, các bệnh lý khác như bệnh gout và nhiễm trùng phải được loại trừ trước tiên. Các xét nghiệm được thực hiện bao gồm lấy mẫu khớp, chụp X-quang và xét nghiệm hóa sinh, xét nghiệm máu. Các thuốc chống viêm không steroid (NSAID) như ibuprofen giúp giảm đau do các cơn cấp tính.
Thuốc trị gout, colchicine, cũng có thể được sử dụng để giảm sự tương tác giữa các tinh thể và hệ miễn dịch của cơ thể. Phương pháp hút dịch khớp cũng có thể được sử dụng để giảm đau do áp lực chất lỏng. Ngoài ra, bác sĩ có tiêm thuốc steroid tác dụng kéo dài vào khớp. Các liệu pháp khác bao gồm tập thể dục và quản lý đau bằng túi nước đá. Cuối cùng, bác sĩ có thể cần phải mổ nội soi để lấy bỏ các tinh thể canxi, đặc biệt là trong các gân cơ chóp xoay vai.
































